AI 改善了放射治疗计划工作流程和患者体验
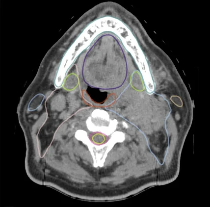
由 RefleXion X1 生成的未经编辑的头颈图像显示出出色的对比度和细节分辨率,并且在多个结构上可见近乎完美的 Limbus AI 轮廓。
AI 改善了放射治疗流程和患者体验
Limbus AI 致力于通过开发最先进的软件来改善癌症护理,其基于机器学习的产品提高了癌症放射治疗计划的效率和临床工作流程。Limbus AI 专注于创建人工智能 (AI) 驱动的自动轮廓算法,该算法完全在客户现有的临床工作站上执行,并保证其本地网络的安全性。这些独特的软件解决方案使临床医生能够更快地制定更准确的治疗计划,从而在整个护理过程中提供更精确的治疗。
加利福尼亚州海沃德和萨斯喀彻温省里贾纳 —肿瘤治疗公司 RefleXion Medical 和癌症放射治疗软件解决方案提供商 Limbus AI 昨日宣布达成一项许可协议,将整合 Limbus 的自动轮廓软件 Limbus Contour,进入 RefleXion X1 放射治疗计划系统。
这种整合将减少患者在治疗计划过程中最重要的瓶颈,其中包括将肿瘤靶标与周围的关键器官和其他健康组织区分开来。根据治疗计划的复杂程度,预计轮廓修整时间最多可减少 80%,从而确保患者得到及时治疗。
“轮廓绘制是放射治疗计划中最耗时的任务之一,并且常常导致治疗延误,” RefleXion 联合创始人兼首席技术官 Sam Mazin 博士说。 “我们发现 Limbus Contour 的人工智能驱动解决方案在速度、准确性和多功能性方面处于技术领先地位。根据治疗计划的复杂程度,我们预计轮廓修整时间最多可减少 80%,从而确保患者得到及时治疗。”
“此外,这为在分娩前立即调整治疗计划奠定了基础,以利用 X1 在图像引导和SCINTIX程序中产生的独特且丰富的解剖和生物信息,”Mazin 继续说道。
放射治疗计划从患者对肿瘤靶点进行计算机断层扫描 (CT) 成像开始。然后,临床医生手动勾画或“勾勒出”治疗区域和应尽量减少照射的附近器官(称为危险器官或 OAR)的轮廓。这种手动过程非常耗时,并且临床医生之间常常存在差异,这可能导致治疗计划质量不一致并限制其有效性。
Limbus Contour采用经过临床验证的深度学习分割算法,具有高精度,可减少人为错误,并有助于确保精确地将辐射输送到目标区域并避免 OAR。
“Limbus Contour 软件的性能取决于 CT 图像的质量,”Limbus AI 首席执行官 Karl Otto 博士说。 “X1 图像具有高分辨率、出色的对比度以及最小的噪声和运动伪影。这将提高区分相邻结构的精度,并产生一致、可靠的轮廓结果,确保患者获得尽可能最高质量的护理。”
采用 SCINTIX 技术的 X1是一种双重治疗方式放疗平台,可以治疗经 FDA 批准的任何阶段的实体瘤患者。生物学和解剖学两种治疗方式都将受益于 Limbus Contour 集成的效率。


